Fluoroscopic X-ray-guided Injections

Dr Creaney performs fluoroscopic injections at Spire Manchester

Many practitoners will inject joints “blind”. This is quick and easy, but it cannot be guaranteed that the injectate has been delivered to correct location, and can be dangerous.

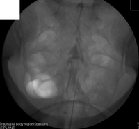
For perfect accuracy Dr Creaney uses X-ray guidance to inject all deep joints and the spine. 

Using a specialised X-ray machine called a fluoroscope, the needle is placed using X-ray guidance. Correct needle placement is confirmed using radiological dye called ‘contrast’, usually Omnipaque 240. This improves the effectiveness and safety of the injection. 

Examples of joint injections requiring fluoroscopy include:- 

Hip 

Shoulder (Gleno-humeral Joint ‘GHJ’)

Ankle (Talo-Crural Joint and Sub-talar joint) 

All spinal injections for back pain & sciatica


© LEON CREANEY 2026